Nuestro Tratamientos
- Inicio
- /
- Tratamientos
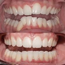
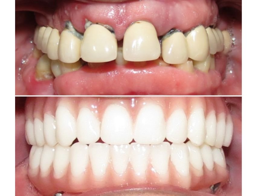
La Rehabilitación Oral es un tratamiento integral enfocado en devolver la funcionalidad, la salud y la estética de tu sonrisa. En este proceso evaluamos de manera detallada el estado de tus dientes, encías, articulación temporomandibular y mordida, para crear un plan personalizado que te permita recuperar la correcta función al masticar, hablar y sonreír con confianza.
Este tratamiento combina diferentes especialidades odontológicas —como prótesis, estética dental, periodoncia y endodoncia— para restaurar piezas dañadas, desgastadas o perdidas, utilizando materiales de alta calidad y técnicas modernas que garantizan un resultado natural y duradero.
Nuestro objetivo es que vuelvas a disfrutar de una sonrisa armoniosa, cómoda y saludable, devolviéndote bienestar y mejorando tu calidad de vida. Te acompañamos en cada etapa del proceso con una atención cercana, clara y profesional, asegurándonos de que siempre entiendas tus opciones y te sientas confiado(a) en cada decisión.
La Endodoncia es un tratamiento especializado que permite salvar dientes dañados o infectados, eliminando el dolor y evitando extracciones innecesarias. A través de este procedimiento limpiamos y desinfectamos el interior del diente, retirando el tejido afectado y sellándolo cuidadosamente para devolverle su funcionalidad y salud.
Este tratamiento es ideal en casos de caries profundas, fracturas, golpes o infecciones que llegan al nervio. Nuestro enfoque es realizar la endodoncia de manera segura, precisa y con técnicas modernas que reducen las molestias y garantizan resultados duraderos.
En nuestro consultorio te acompañamos desde el diagnóstico hasta la recuperación, explicando cada paso y asegurándonos de que recibas una atención cálida, clara y profesional. Nuestro objetivo es aliviar tu dolor, proteger tu sonrisa y conservar tus dientes naturales el mayor tiempo posible.
La Ortodoncia es la especialidad encargada de corregir la posición de los dientes y mejorar la alineación de la mordida, logrando una sonrisa más estética, funcional y saludable. A través de un diagnóstico preciso, definimos el tratamiento ideal para cada paciente, considerando su edad, necesidades y objetivos.
Trabajamos con diferentes sistemas de ortodoncia —desde brackets tradicionales hasta opciones estéticas y alineadores— para ofrecerte resultados efectivos y cómodos. Nuestro enfoque es acompañarte paso a paso, monitoreando tu evolución y asegurándonos de que cada movimiento dental sea seguro y adecuado.
Más allá de mejorar la apariencia, la ortodoncia contribuye a prevenir desgastes, dolores articulares, dificultades al masticar y problemas de higiene dental. El objetivo es brindarte una sonrisa equilibrada que no solo se vea bien, sino que también funcione correctamente y mejore tu calidad de vida.
La Periodoncia es la especialidad encargada de prevenir, diagnosticar y tratar las enfermedades que afectan las encías y los tejidos que sostienen los dientes. Estos tratamientos son esenciales para mantener una sonrisa sana, evitar la pérdida dental y controlar problemas como la inflamación, el sangrado y la acumulación de placa y sarro debajo de la encía.
A través de evaluaciones detalladas, limpiezas profundas, tratamientos regenerativos y mantenimientos periódicos, trabajamos para restaurar la salud de tus encías y preservar la estabilidad de tus dientes. Utilizamos técnicas modernas y precisas que permiten un manejo eficaz y cómodo, adaptado a las necesidades de cada paciente.
La salud periodontal es clave para tu bienestar general. Por eso, te acompañamos en cada etapa del tratamiento con atención profesional, clara y humana, asegurándonos de que comprendas tu proceso y logres resultados duraderos. Nuestro objetivo es que recuperes una sonrisa firme, saludable y libre de molestias.
NUESTRO EQUIPO
Nuestro equipo combina experiencia, calidez y precisión para ofrecerte una atención integral y de confianza.
Caroliana
Marulanda
Periodoncista
Juan Pablo
Giraldo
Ortodoncista
Juliana
Aranzazu
Odontologa